Why Is the Health of Our Teeth Important?
As a professional, I often encounter that the health of our teeth does not get much attention until a more serious problem appears – for example pain, inflammation, or allergic reactions. I remember my parents often telling me to take care of my eyes, my face, my heart, my joints, but that I should also look after my teeth — that somehow never came up. Of course, they always tried to make sure I brushed at night and that I didn't eat so many sweets, but somehow it never felt like a very big issue.
Yet how important it would be to instill in young children the kind of awareness that treats our body as a whole, as an interconnected system. A holistic view that if we do not take care of oral health, we are also failing to take proper care of, for example, our heart, our immune system, and our joints. I often recall the image of my grandparents, aunts and uncles smiling back at me from the haze of my memories without teeth. But our teeth are part of our body for a lifetime in the same way as our eyes, ears, or fingers. Our teeth should not have to fall out prematurely. Of course, in the past there were no toothbrushes, no toothpaste, not to mention interdental cleaners, but to be honest, there was also far less refined and processed food. We chewed, and chewing promoted the mouth's natural self-cleaning. Today, with our overcooked foods and decreasing consumption of vegetables and fruits, the role of chewing has also diminished.
Borbála Rák, clinical dental hygienist

I grew up in a small village where, even as a child, I understood how much it means to be surrounded by loving care and attention. That atmosphere shaped my vision of the future — I felt that healthcare was where I could truly find myself and be my authentic self in service to others.
Although in 2006 life led me to temporarily put a direct healthcare career on hold, I always knew it was a temporary state. In 2017, with a more secure background behind me, I was able to bring my desire to serve people in healthcare back into the foreground.
As a dental assistant and later as a dental hygienist, I had the opportunity to learn personally from the best professionals, and of course this learning is lifelong — my field is perhaps one of the most rapidly developing and changing specialties within medicine.
I believe that with a beautiful smile we can communicate without words, something that is not only much needed in today's world but increasingly desired. My goal is to draw everyone's attention to the importance of dental treatments, and especially to professional in-clinic cleanings and tartar removal.
By now, I think almost all of you may have experienced that public healthcare services do not always offer reassuring solutions to our problems. Private healthcare can place a significant burden on family budgets. Dentistry is no exception.
However, rather than going into why dental treatments can be expensive, I would like to emphasize that in the long run the most economical solution to oral problems is regular in-clinic tartar removal and screening, starting from childhood.
When you reach the point that your teeth, gums, or jaw hurt, that is already a fairly clear signal from your body that something may be wrong — you should see a professional, a dentist. I must note, though, that even then many people do not have the courage to visit a dentist, which unfortunately can lead even in the short term to lasting, whole-body pain, inflammation, or even serious organ disorders. The blood vessels that weave through the oral cavity can carry the accumulated bacterial flora, their toxins, and metabolic by-products via the bloodstream to nearby and distant organs, which can provoke somatic reactions, exacerbate dormant illnesses, or worsen symptoms of existing conditions.
The situation is even more difficult when there are no visible symptomatic changes in the mouth and its surroundings. Because most people spend surprisingly little time on proper oral hygiene and regular professional check-ups, teeth and the surrounding gums can shift from symptom-free to chronic conditions in the blink of an eye — conditions whose endurance and treatment require endless patience, humility, and energy. And of course, not least, considerable financial resources. I often hear patients say they consider themselves lucky because they haven’t needed dental care for 10 years, only coming in now because they occasionally feel some toothache in certain spots, and lately their gums seem a bit more prone to bleeding. Or they might say they inherited their teeth from their father, who at 70 still had almost all his teeth, so they claim they have no problems — no pain, maybe tartar, but nothing hurts. At moments like these I already worry in advance about what I will find in the mouth. Massive tartar accumulated over many years is one of the biggest enemies not only of teeth but also of the gums, bone, and our general health. By this stage a marked oral microbiome and bacterial flora has developed in the mouth that takes years of persistent effort to destabilize and neutralize. Meanwhile, bacteria have been infecting other organs of the body for years, weakening the immune system, and by destroying the supporting tissues of the teeth, seemingly healthy teeth can fall out of their sockets.

Yet the recipe for good oral hygiene is actually very simple.
Two things help: one is regular and proper toothbrushing, the other is regular professional dental hygiene treatments in the clinic. The two things are not interchangeable; they complement each other — both are equally important and necessary. In my treatments I focus not only on tartar removal but increasingly on the proven effective guided biofilm removal.
The biofilm, that few-cell-layer bacterial plaque which is invisible to the naked eye, can determine the nature of the oral flora — whether it predisposes to cavities or periodontal disease. Although removed biofilm re-forms on the tooth surface within five minutes, by removing it regularly we give the body the opportunity to maintain balance according to the current state of the immune system, allowing the oral bacterial community to remain balanced. Yes, balance is the key in the oral cavity as well.
During each in-clinic cleaning I provide my patients with personalized practical tips and ideas on how to perfect their at-home oral care routine. Brushing well is not as easy as we might think. But as I often say, cleaning the teeth is to the teeth what goodness is to the soul.
I should also briefly mention the occurrence when someone attends dental appointments regularly yet still loses teeth or their condition is not reassuring.
Unfortunately, I have heard from many patients at our first meeting statements such as: they had tartar removed three weeks ago (even though there is visibly a lot of tartar that is not three weeks old), or their tooth was recently filled and the dentist said everything was fine (yet several teeth still have decay), or the patient has a chronic periodontal disease that was not diagnosed despite years of regular dental visits. My dedication to my profession does not allow me to discuss these care protocols in a personal tone, but I believe that as in every healthcare field, in dentistry we must keep our eyes open and remain flexible. We must find the dentist or dental hygienist who makes us feel we can entrust ourselves to them with a calm heart — someone on whom we can rely not only professionally but also personally during treatment.
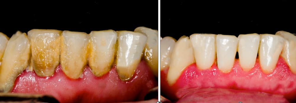
The greatest enemy of a healthy periodontium is plaque and tartar that remain around the teeth for a long time. Tartar forms from plaque on the teeth and minerals dissolved in the saliva. The rough surface of tartar, the bacteria that proliferate within it, and the toxins they produce trigger inflammation in the contacting gum tissue. The presence of tartar and gum inflammation has been proven to damage health and teeth (for example focal infections, premature birth, heart disease). Increasingly, patients ask us for a negative focal-infection result from us because anesthesiology and surgical colleagues only proceed with their operations when they are informed of this. In such multidisciplinary teamwork with a healthcare-focused perspective, I believe there is still a future for the trust our patients place in us.
It is also impossible to make a good filling in a tooth covered with tartar. Sometimes you cannot even see where the tooth ends and the tartar begins. In the long term, ongoing gum inflammation leads to bone loss underneath. This causes the destruction of the periodontium, leading to loosening and loss of teeth, as mentioned earlier. There is much more I could talk about in this short introduction or expand on some topics in more detail. For example, the importance of dental focal-infection screening (tartar is also a dental focus), holistic dental thinking, and conditioning children. Perhaps many of you don't even know why it's so important as adults not to lick anything that goes into a child's mouth, because an adult's mature flora can immediately over-infect a child's microbiome. Or why it is important that the person you kiss has healthy teeth. So there are many interesting topics left, and I would be happy if you wrote to me about what you'd like to read more about or what questions you have regarding dental care.
Until then, don't forget: good oral hygiene is one of the pillars of health, neatness, and beauty. Healthy gums are the basic requirement for a radiant smile and fresh breath.
Book an appointment with me!
Book a full dental cleaning with me and be part of preserving not only your own teeth but also helping to protect the teeth of your friends, relatives, and children — thereby saving the most time, energy, and money in the long run.
Warm regards,
Borbála Rák
[email protected]